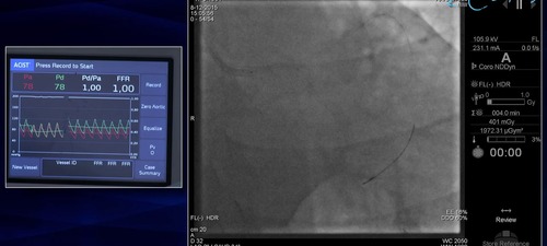
Measurement of FFR in heavily disease side branch

Add this Moment to your Passport

Learn from this moment and keep it forever.
FREE
Add To Passport

Preview

Summary

FFR was measured in the circumflex artery using the Navvus micro catheter.  This circumflex artery was particularly challenging as it was heavilty disease and orientated approximately 90o to the left main stem.  After wiring the circumflex artery the Navvus micro catheter is passed into the distal circumflex artery. 

  • Navigation of 90o bend in a heavilty disease ostial circumflex artery
  • Measurement of FFR

Add this Moment to your Passport

Learn from this moment and keep it forever.
FREE
Add To Passport

Target Audience

  • Interventional cardiologists
  • Interventional cardiology fellows
  • Cardiologists taking care of patients with coronary artery disease
  • Catheterisation laboratory nursing and technical staff and healthcare professionals
  • Windecker S, Kolh P, Alfonso F, et al. 2014 ESC/EACTS Guidelines on myocardial revascularization: The Task Force on Myocardial Revascularization of the European Society of Cardiology (ESC) and the European Association for Cardio-Thoracic Surgery (EACTS). Eur Heart J. 2014;35:2541–2619.
  • Pijls NH, Tanaka N, Fearon WF. Functional assessment of coronary stenosis: can we live without it? Eur. Heart J. 2013;34:1335-1344.
  • Diletti R, Van Mieghem NM, Valgimigli M, et al. Rapid exchange ultra-thin microcatheter using fibre-optic sensing technology for measurement of intracoronary fractional flow reserve. EuroIntervention. 2015;11:428-432.

Learning Objectives

This case is to inform and educate interventional cardiologists on:

  • Strategy selection to approach significant true bifurcation lesions
  • Implementation of FFR assessment in bifurcation lesions
  • Implementation of FFR in side-branch assessment after provisional stenting
  • Use of microcatheter based FFR technology
Loading Simple Education