Management of Tandem Lesions and Diffuse Disease - Sukhjinder Nijjer

Add this Moment to your Passport

Learn from this moment and keep it forever.
Buy Now
$59.99
This moment is included in Simple Premium - Get started for free.
FREE with Simple Premium
Start your 30-day free trial
Simple Premium offers unlimited access to all premium moments. $30.00 per month. Cancel anytime.

Preview

Summary

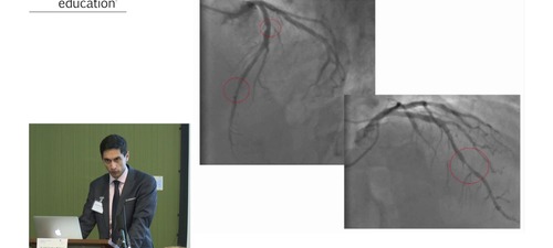
Sukhjinder Nijjer discussess the role of physiology in the management of tandem lesions and diffuse disease

  • Case based scenarios explored
  • Use of physiology pre and post PCI
  • Prediction of post-PCI physiology 
  • How does prediction differ between rest and hyperaemic flow states
  • Co-registration of physiology with angiography 


Add this Moment to your Passport

Learn from this moment and keep it forever.
Buy Now
$59.99
This moment is included in Simple Premium - Get started for free.
FREE with Simple Premium
Start your 30-day free trial
Simple Premium offers unlimited access to all premium moments. $30.00 per month. Cancel anytime.

Target Audience

These educational moments are suitable for a wide audience including:-

  • 5* rated international core course-content
  • Interventional cardiologists 
  • General cardiologists
  • Allied healthcare professionals 
  • Technicans and physiologists 
  • Industry core physiology requirements

This course is supported by an unrestrited educational grant from Volcano-Philips

Learning Objectives

  • Detailed background knowledge of the history of physiological measurements
  • Range of tools available in the clinical cathether laboratory for physiological measurments
  • Choice of flow or pressure in stenosis assessment?
  • Evidence base for physiological assessment 
  • Appropriate use criteria, and application of physiological assessment to routine practice
  • State-of-the art anatomical-physioloigcal co-registration 
  • Clinical trial update (DEFINE-FLAIR, iFR-SwedeHeart, FAME 3)
Loading Simple Education