MDT Case 1 - Dr. Yousif Ahmad

Add this Moment to your Passport

Learn from this moment and keep it forever.
Buy Now
$39.99
This moment is included in Simple Premium - Get started for free.
FREE with Simple Premium
Start your 30-day free trial
Simple Premium offers unlimited access to all premium moments. $30.00 per month. Cancel anytime.

Preview

Summary

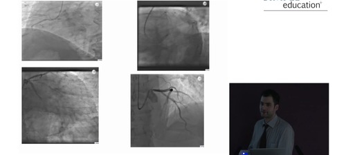
Yousif Ahmad discusses the case of 67-year old man, (ex-smoker, hyperlipidaemia) when incidental LAD stenosis discovered on CT during a routine health check.

Add this Moment to your Passport

Learn from this moment and keep it forever.
Buy Now
$39.99
This moment is included in Simple Premium - Get started for free.
FREE with Simple Premium
Start your 30-day free trial
Simple Premium offers unlimited access to all premium moments. $30.00 per month. Cancel anytime.

Target Audience

  • Interventional cardiology trainees
  • Cardiology trainees
  • General practictioners with specialist interest in cardiology
  • Clinical fellows
  • Physiologists
  • Cath lab staff
  • Aspiring cardiology trainees

This course is organised and run by Simple Education

Learning Objectives

  • Diagnosis of chest pain patients
  • Management of chest pain patients
  • Feel more confident in the cardiac catheter lab
  • Instantly know what to do when things go wrong during procedures 
  • Familarise yourself with Emergencies 
  • Learn about different catheters, for native arteries and grafts
  • Watch live case practical demonstrations
  • Learn about access routes and vascular closure 
Loading Simple Education