Introduction on Coronary Flow Velocity Reserve Assessment with Transthoracic Doppler Echocardiography

Add this Moment to your Passport

Learn from this moment and keep it forever.
FREE
Add To Passport

Preview

Summary

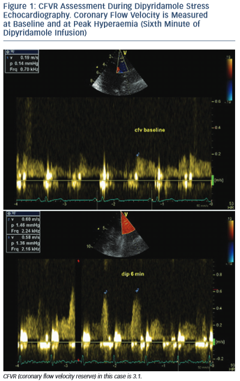
Coronary flow velocity reserve (CFVR) represents the ratio between maximal (stimulated) coronary blood flow, induced by using a coronary vasodilator, and baseline (resting) blood flow (see Figure 1). As a ratio it is a dimensionless variable. It could be measured with different tools – some of them, such as intracoronary Doppler flow wire and coronary sinus thermodilution, are invasive methods and therefore associated with certain risks, radiation exposure, increased cost and ethical considerations.1 Other methods, such as cardiac magnetic resonance imaging and cardiac nuclear imaging, are non-invasive and useful for clinical research, but with limited clinical application because they are complex, time-consuming, with limited availability and expensive.2,3

Transthoracic Doppler echocardiography (TDE) as a tool to measure CFVR has the advantages of being non-invasive, widely available, easily performed at bedside, without radiation exposure, inexpensive and not so time-consuming (mean time to complete a CFVR test is around 15 minutes; when it is combined with a cold-pressor test – see below, the duration is prolonged by 5 more minutes). However, CFVR assessment has a steep learning curve and operator experience is important. This review focuses on the technical details for CFVR assessment and major clinical applications.

Loading Simple Education